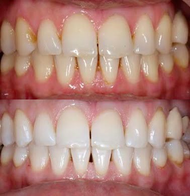
O să vă spun o povestioară despre cum am ajuns să am cel mai frumos zâmbet pe care l-am avut vreodată! Povestea a început odată cu citirea acestei promisiuni: “1. Ce zâmbet frumos ai, doamnă! Oh, da, zâmbetul chiar e o armă de seducție infailibilă. Zâmbetul larg al Juliei Roberts ne seduce și pe noi, nu numai pe bărbați. Nu-i așa că v-ați întrebat și voi cum de reușește să aibă dantura aceea strălucitor de albă? Ei, bine, acum se poate și la noi! Poate chiar tu vei simți cum e… :)”

Da, sunt o cititoare împătimită a revistei și cu câteva zile înainte de Crăciun am văzut că a lansat un concurs “The Catchy Christmas List“. Suna bine, multe premii și toate din cele pe care și le-ar fi dorit orice femeie, și mi-am zis “De ce nu?”. Ei, bine, pe 1 ianuarie, când am avut răgazul să-mi citesc corespondența, ce credeți că văd? Mailul de la Catchy: “Dragă Mihaela, ai câștigat premiul numărul 1 – tratamentul profesioanl de albire a dinților oferit de Clinica DentalMed. Felicitări!” Nu vă pot descrie bucuria pe care am simțit-o la aflarea veștii! Tot îmi place mie să zâmbesc, mi-am zis, în curând voi zâmbi fără teama că pasiunea pentru cafea se va vedea mereu cuibărită în zâmbetul meu…

Trebuie să va mărturisesc că m-am simțit ca într-un centru spa de lux și nu într-o clinică stomatologică. O ambianță caldă, oameni plăcuți și primitori, cabinete super-utilate și doctori de nota 10+. Le mulțumesc pentru profesionalism și răbdare celor două femei care m-au făcut să mă simt ca un VIP, așa cum păreau să se simtă toți ceilalți pacienți pe care i-am văzut acolo: Mariana Velisarato, Director Executiv, și doctorița Monica Mihai.

Și, în final, pot să vă spun cu mâna pe inimă că reacțiile celor din jur după tratamentul de albire au fost exact ca la începutul poveștii: “WOW, dar ce zâmbet frumos ai, doamnă!”
Catchy și DentalMed, datorită vouă zâmbesc cu încredere și mă bucur de cei mai albi dinți pe care i-am avut vreodată!
Cu aleasă prețuire, a dvs. câștigătoare și pacientă fericită,
Mihaela Căpățână
Citiţi şi
Cum alegi corect clinica dentară potrivită pentru copilul tău
Dinții strâmbi nu mai sunt strâmbi pe viață
Acest articol este protejat de legea drepturilor de autor. Orice preluare a conținutului se poate face doar în limita a 500 de semne, cu citarea sursei și cu link către pagina acestui articol.
















